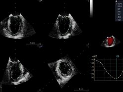
To nie tylko kolejna aparatura medyczna, ale realna pomoc dla pacjentów. Dzięki zastosowaniu sztucznej inteligencji nowy echokardiograf potrafi szybko i bardzo precyzyjnie zobrazować pracę serca. Jak tłumaczą lekarze, oznacza to lepszą diagnostykę i skuteczniejsze leczenie.
- ZOBACZ TAKŻE: Szpital Madurowicza w Łodzi w trosce o przyszłych rodziców. Drzwi otwarte są codziennie!
To ogromny krok naprzód. Urządzenie pozwala dokładnie ocenić, jak pracują komory i przedsionki serca, a także szybko uzyskać rzetelne wyniki przy minimalnym wysiłku ze strony operatora – mówi dr Maciej Nadel, kardiolog z Uniwersytetu Medycznego w Łodzi.
Nowy echokardiograf GE Vivid E95 Ultra Edition został wyposażony w specjalną głowicę, która znacząco przyspiesza badania i zwiększa ich dokładność. To szczególnie ważne w kardiologii, gdzie liczy się czas i precyzja. Sprzęt będzie służył zarówno pacjentom trafiającym do specjalistów, jak i naukowcom prowadzącym badania nad nowymi metodami leczenia. To kolejny dowód na to, że łódzka medycyna łączy nowoczesną technologię z troską o zdrowie mieszkańców.
